八零图社
首页
最新
热门
排行
首页
最新
热门
排行
自然风光
动漫卡通
美食摄影
科技数码
人物写真
创意设计
壁纸背景
游戏原画
首页
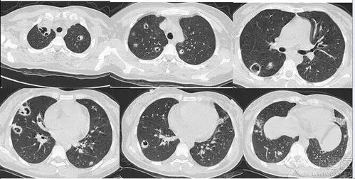
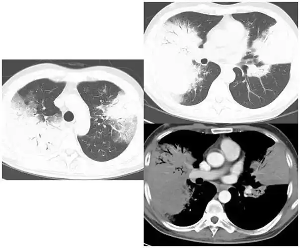
肺炎片子图片怎么看
图片详情
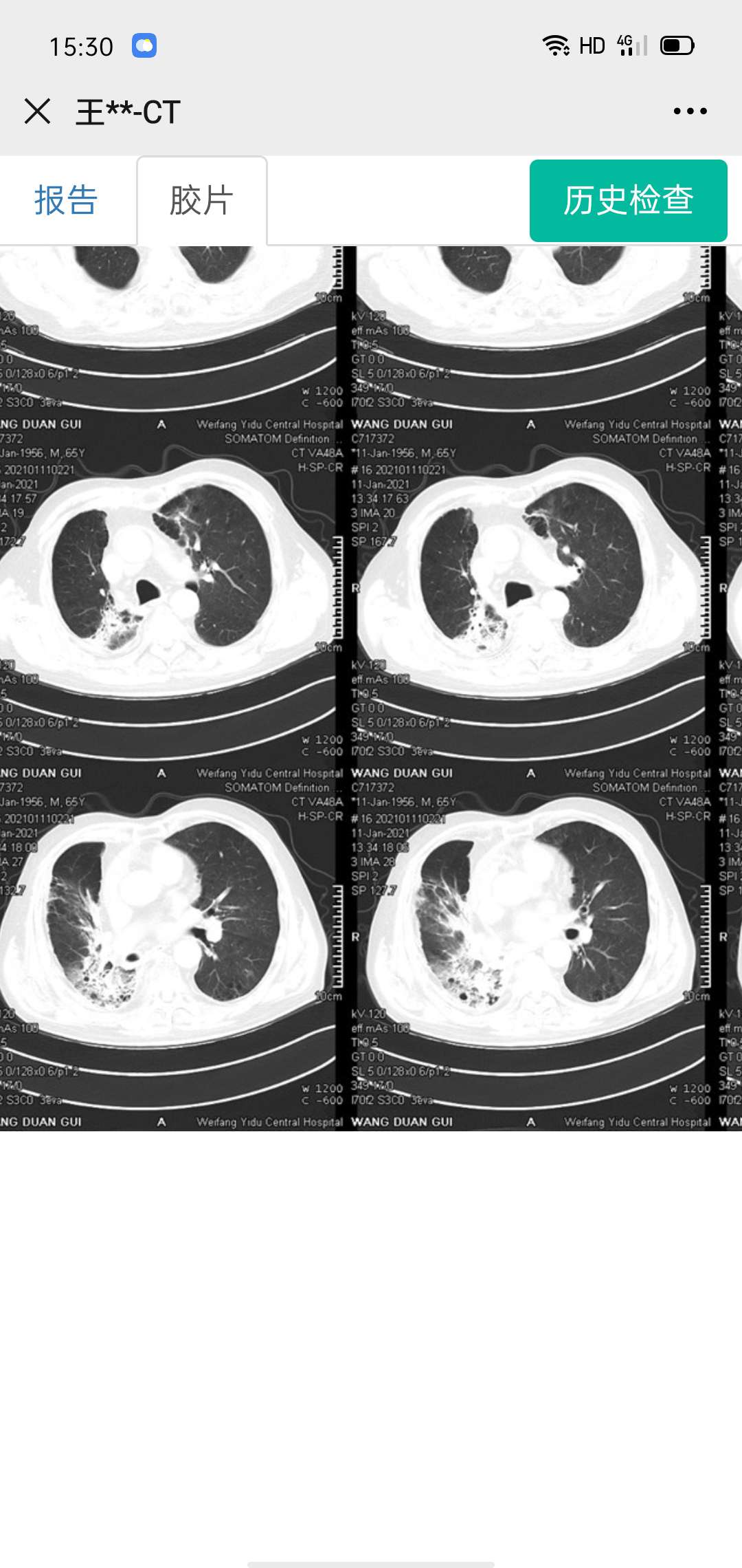
三次肺炎ct片子
0
浏览
0
喜欢
1080x2280
尺寸
2026-03-13 18:22:17
上传
查看原图
下载图片
图片链接
缩略图
原图
外链
专题
肺炎片子图片怎么看
相关图片
金黄色葡萄球菌肺炎,大咖教你看ct片!
0
0
肺炎君:自古深情留不住,唯有口诀得人心!
0
0
刘敏:病毒性肺炎的ct影像学特征分析---西安交大
0
0
新型冠状病毒肺炎肺部ct表现的5个特点
0
0
胸片如何看肺炎这篇文章帮你立刻入门
0
0
金葡菌肺炎——潘军平,肺部影像联盟
0
0
几组肺炎ct读片大畅带你来看图
0
0
肺炎治疗误用抗菌药你可能也在这么做
0
0
新型冠状病毒肺炎ct片集锦早期和进展期有啥不一样
0
0
经典胸片展示之三--支气管扩张
0
0
轻松读懂肺炎实变的影像学征象│以影识病
0
0
慧读片(6)丨从病例了解「百变机化性肺炎」的典型与非典型征象
0
0
随机推荐
男生夏天最帅气的"短发",剪这3款就够了,完美提升颜值|发型|寸头|减龄
0
0
通发娱乐官网网址
0
0
【刘耀文】爱豆就是要染头!
0
0
海潮汹涌的大海2880x1800分辨率下载,海潮汹涌的大海,图片,壁纸,自然
0
0
十字钻瓷砖钢板开孔器全瓷玻璃陶瓷混凝土水泥大全12号钻头6m0621
0
0
还有谁没看过娜扎扮演的貂蝉颜值绝了
0
0
2022届高一素描教学(静物单体写生浅色罐)
0
0
玉米须茶独立小包装农家天然胡须新鲜无杂质苞谷须养生玉米须子茶
0
0
温言高冷可爱的真人闺蜜头像两人专属
0
0
硬笔书法字帖电子版,四个文件,每日打卡专用,暑假书法练字机构 - 抖音
0
0
性感彩妆美女高清图片
0
0