八零图社
首页
最新
热门
排行
首页
最新
热门
排行
自然风光
动漫卡通
美食摄影
科技数码
人物写真
创意设计
壁纸背景
游戏原画
首页
肺炎片子图片怎么看
图片详情
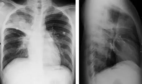
经典胸片展示之三--支气管扩张
0
浏览
0
喜欢
640x612
尺寸
2026-03-13 18:22:18
上传
查看原图
下载图片
图片链接
缩略图
原图
外链
专题
肺炎片子图片怎么看
相关图片
中医院放射科带您解读小儿肺炎
0
0
金黄色葡萄球菌肺炎,大咖教你看ct片!
0
0
刘敏:病毒性肺炎的ct影像学特征分析---西安交大
0
0
胸片如何看肺炎,这篇文章帮你立刻入门!
0
0
轻松读懂肺炎实变的影像学征象│以影识病
0
0
几组肺炎ct读片大畅带你来看图
0
0
肺炎治疗误用抗菌药你可能也在这么做
0
0
三次肺炎ct片子
0
0
新型冠状病毒肺炎ct片集锦早期和进展期有啥不一样
0
0
胸片如何看肺炎,这篇文章帮你立刻入门!
0
0
轻松读懂肺炎实变的影像学征象│以影识病
0
0
慧读片(6)丨从病例了解「百变机化性肺炎」的典型与非典型征象
0
0
随机推荐
男性肩部彩色逼真的老虎头纹身图片
0
0
李玉刚戛纳红毯百蝶衣
0
0
杰克·吉伦哈尔黑白壁纸高清原图查看
0
0
李易峰冬日温柔气质写真
0
0
帮忙看这只鸽子公的还是母的
0
0
饭后水果
0
0
心痛今早桂林发生一起车祸一名小女孩殒命
0
0
龟鱼派/熊掌社/鱼生同人本纪念 - 简书
0
0
宿舍宠物乌龟小王八水族淡水易活水养网红活物家养观赏爬宠耐活
0
0
点一盏心灯,让天堂的亲人不再孤冷
0
0
希腊字母你认得全么?
0
0
1985 behind the sun tour——eric clapton埃里克·克莱普顿_哔哩
0
0