八零图社
首页
最新
热门
排行
首页
最新
热门
排行
自然风光
动漫卡通
美食摄影
科技数码
人物写真
创意设计
壁纸背景
游戏原画
首页
近视眼突出图片大全
图片详情
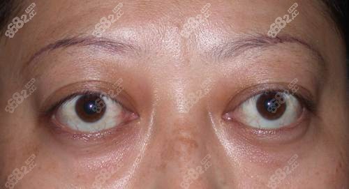
眼球因为近视突出了怎么办?哪里做突眼矫正效果比较好?
0
浏览
0
喜欢
500x271
尺寸
2026-03-14 09:44:55
上传
查看原图
下载图片
图片链接
缩略图
原图
外链
专题
近视眼突出图片大全
相关图片
从临床来看,眼球突出是所有近视眼患者的共同毛病,有些人虽然表面看不
0
0
晶体植入近视眼手术
0
0
近视眼眼球突出怎么办?
0
0
近视眼药水_甲亢眼突【3日冶好】眼球突出眼睛水肿甲亢眼突近视眼干涩
0
0
近视眼,眼球突出,一年前做了双眼皮.这样是不是失败了呀?
0
0
近视眼镜长期佩戴,为何会导致眼球变形突出
0
0
18岁近视600不想眼睁睁看着眼更突救救我
0
0
如果是近视导致的眼球突出,那要防止度数增加, 否则眼轴越长,眼球越凸
0
0
icl 高度近视能治疗吗 (3)眼球突出:高度近视眼多为轴性,眼球明显变长
0
0
眼综合可以解决近视性的眼突吗
0
0
眼睛高度近视导致的眼凸还有救吗
0
0
儿童的眼睛近视出现这种的情况应该怎么办
0
0
随机推荐
化剑
0
0
400_200gif 动态图 动图
0
0
现在有没有电影中赌神高进一样的人
0
0
手捧心形
0
0
qq头像霸气范纹身男社会人
0
0
电锯人 早川秋
0
0
不锈钢专用钻头dingtai鼎泰高速钻头镀钴钻头定柄钻vp钻头
0
0
转载自百家号作者:阿文娱乐
0
0
英雄联盟战争女神希维尔cosplay
0
0
【标准,美体,模特!
0
0
孙策头像
0
0
常见的几种节奏型
0
0