八零图社
首页
最新
热门
排行
首页
最新
热门
排行
自然风光
动漫卡通
美食摄影
科技数码
人物写真
创意设计
壁纸背景
游戏原画
首页
四维彩超唇腭裂
图片详情
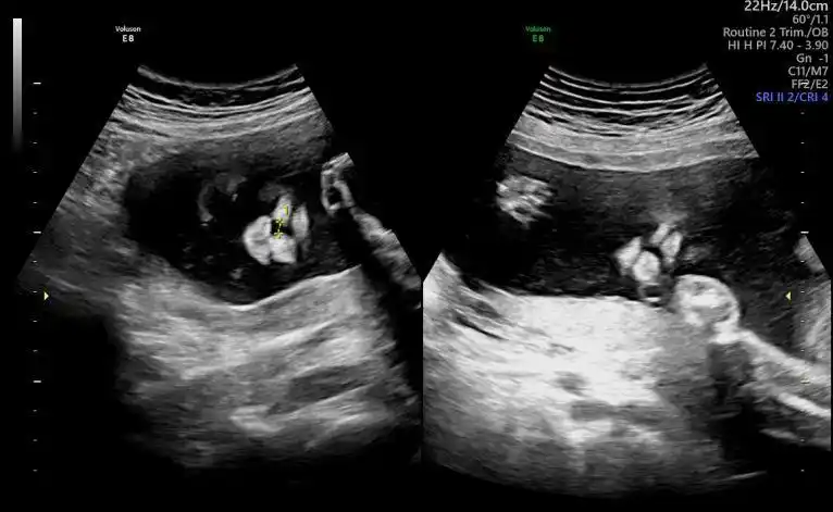
双胎宝妈21周做四维彩超筛查出一名胎儿为唇腭裂
0
浏览
0
喜欢
1080x1440
尺寸
2026-03-13 12:37:52
上传
查看原图
下载图片
图片链接
缩略图
原图
外链
专题
四维彩超唇腭裂
相关图片
前两天做的四维,四维图上看起来正常,可是放大的照片看起来像兔唇,问
0
0
书摘笔记胎儿唇腭裂的超声诊断
0
0
双胎宝妈21周做四维彩超,筛查出一名胎儿为"唇腭裂"
0
0
大家帮我看看孩子有没有唇腭裂
0
0
二维三维四维彩超下的唇腭裂胎儿都是怎样的你可能想象不到
0
0
其它 扎赉特旗妇幼保健院彩超室 "gee8"四维彩超的引进,在妇产科领域
0
0
妇产科超声多图讲解胎儿唇腭裂的超声诊断
0
0
【超声微课堂】胎儿颜面部畸形超声诊断思路:中孕期唇裂和唇腭裂
0
0
美国gee8超清四维彩超为安徽孕妈查出宝宝患有唇腭裂
0
0
一般胎儿在怀孕5个月的时候,孕妇都要检查胎儿四维彩超的,要检查胎儿
0
0
昨天照了四维说唇腭裂好担心,不知道该怎麼办
0
0
四维照片宝宝这样算兔唇吗
0
0
随机推荐
西宁市第二十一中学开展"变废为宝","创意无限"为主题的手工比赛活动.
0
0
易烊千玺比心手势
0
0
张康阳近期采访张康阳接受新华社采访
0
0
阅兵式上的孔雀蓝 湖北省军区三名文职人员接受检阅载誉归来
0
0
魅力口红唇彩海报
0
0
洪知秀
0
0
小年这一天,后八里沟村现场发放分红1000万现金.
0
0
微信古怪头像奇特的微信头像图片
0
0
30w孕期老公说我的大肚子好性感
0
0
摩纳哥发布2016-17赛季主场球衣
0
0
王者荣耀五黑头像 蔡文姬
0
0
宝宝发型男图片
0
0