八零图社
首页
最新
热门
排行
首页
最新
热门
排行
自然风光
动漫卡通
美食摄影
科技数码
人物写真
创意设计
壁纸背景
游戏原画
首页
上颌骨骨折
图片详情
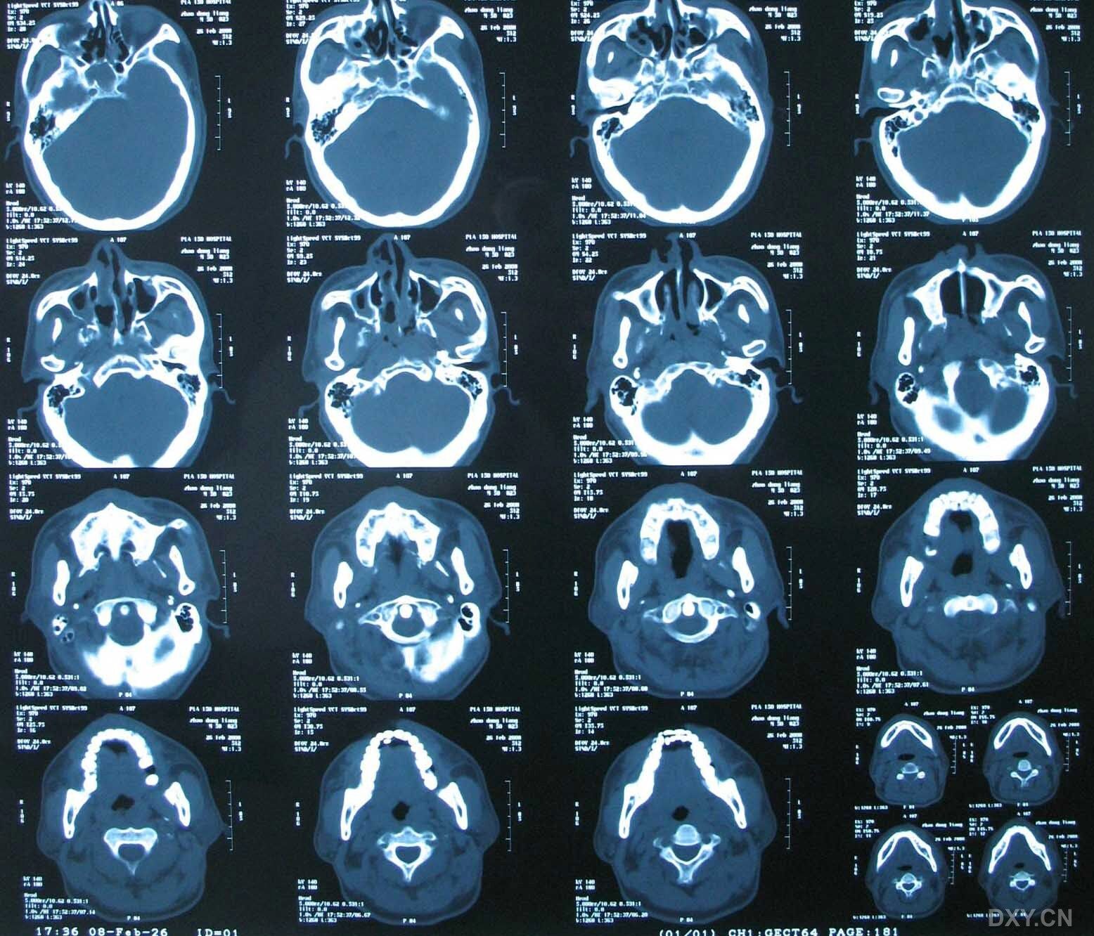
【病例讨论】上颌骨骨折何以引起张口受限 [病例帖]
0
浏览
0
喜欢
1556x1332
尺寸
2026-03-13 10:00:09
上传
查看原图
下载图片
图片链接
缩略图
原图
外链
专题
上颌骨骨折
相关图片
这个上颌窦骨折需要手术吗?
0
0
【急诊】颧骨骨折,上颌骨骨折ct表现
0
0
上颌骨骨折
0
0
上颌骨骨折 [病例帖]
0
0
先定个小目标7575今天搞定上颌骨骨折线7575
0
0
目前,对于一些陈旧性骨折及骨质缺损较多的复杂骨折的治疗方案,各专家
0
0
左侧颌面部骨折
0
0
额部,上唇,鼻旁裂伤.ct示鼻骨,上颌骨骨折,下牙槽骨骨折.
0
0
左侧颌面部骨折
0
0
左颧骨复合体,上颌窦前壁骨折一例
0
0
正颌手术# le fort ii型骨折:又称上颌骨.
0
0
颏部线性骨折
0
0
随机推荐
申城今日迎中雨明起转多云本周最低温2
0
0
刘亦菲美貌清纯点到为止的艳不可方物的美
0
0
《流金岁月》原著结局:朱锁锁的悲哀与蒋南孙的幸福
0
0
绝对伏特加absolut vodka700ml覆盆莓果味酒 洋酒烈酒-tmall.com天猫
0
0
病例分享花斑癣2
0
0
产品排版丨版式设计.#设计艺术
0
0
有没有好心人可以发一些山河令电脑桌面高清壁纸
0
0
桌面壁纸 nba休斯敦火箭队标志高清图片桌面壁纸上一张下一张查看原图
0
0
乞讨要钱图片素材-乞讨要钱模板在线设计制作-千库编辑
0
0
火影宇智波带土cos面具 万圣节cosplay动漫化妆舞会装扮道具
0
0
刘耀文
0
0
捷克豹:奢华腕表界的动物王国
0
0