八零图社
首页
最新
热门
排行
首页
最新
热门
排行
自然风光
动漫卡通
美食摄影
科技数码
人物写真
创意设计
壁纸背景
游戏原画
首页
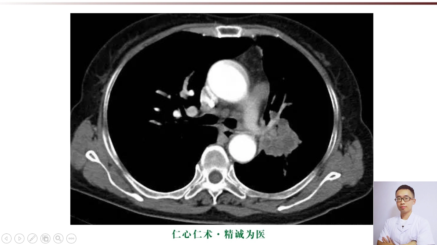
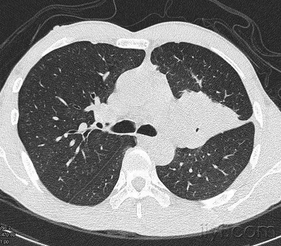
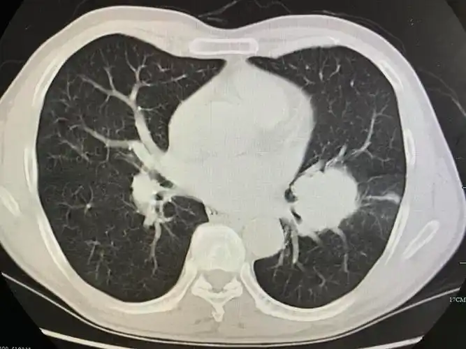
中央型肺癌ct
图片详情
简述中央型肺癌特点及影像表现
0
浏览
0
喜欢
1228x971
尺寸
2026-03-13 18:18:53
上传
查看原图
下载图片
图片链接
缩略图
原图
外链
专题
中央型肺癌ct
相关图片
中央型肺癌ct表现,直接征象及间接征象!-健康视频-搜狐视频
0
0
在ct上,肺癌按照发生部位可以分为以下3种类型: 1,中央型肺癌:指肿瘤
0
0
中央型肺癌肺内多发转移一例!
0
0
影像基础知识:中央型肺癌ct表现及报告书写!
0
0
1例左下肺中央型鳞癌患者,斜裂不发育,肿瘤侵犯下叶支气管和上叶舌段
0
0
右肺中央型肺癌
0
0
【原创】右肺中央型肺癌 胸腔镜下局部注射治疗
0
0
右肺中央型肺癌
0
0
中央型肺癌一例!
0
0
右肺中央型肺癌
0
0
特殊的肺癌 什么叫中央型类癌?
0
0
中央型肺癌一例直接征象和间接征象都有哪些
0
0
随机推荐
ppt丨城市综合安全风险监测预警平台解决方案
0
0
第一眼就吸引人的美女头像大全女生高清图片
0
0
图文:吴卓义官恩娜出席时装发布-官恩娜吴卓羲
0
0
原创邓伦新剧香蜜一开播就炸了网友就我一个人觉得柏海出轨了
0
0
走进office职场大学,梦想起航
0
0
周洁琼的大气典雅
0
0
q版滕瑞雨 滕瑞雨的教程啊
0
0
angelababy纱裙浪漫高清桌面壁纸高清大图预览1920x1200_大陆明星下载
0
0
简约风格女装服装店
0
0
3月16日茅台酒价格表
0
0
双月湾风景区在哪里?一起探寻广东惠州的瑰宝
0
0
三角logo
0
0