八零图社
首页
最新
热门
排行
首页
最新
热门
排行
自然风光
动漫卡通
美食摄影
科技数码
人物写真
创意设计
壁纸背景
游戏原画
首页
第二双尖牙
图片详情
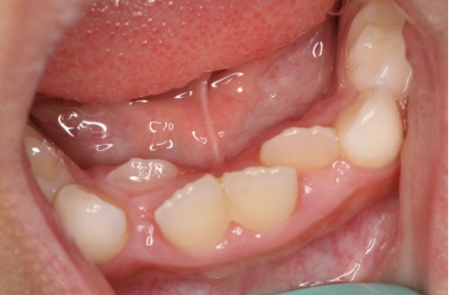
先天性下合第二双尖牙缺失
0
浏览
0
喜欢
680x907
尺寸
2026-03-14 08:45:49
上传
查看原图
下载图片
图片链接
缩略图
原图
外链
专题
第二双尖牙
相关图片
什么样的牙齿要拔除呢? - vvsmile牙齿隐形矫正的回答 - 头条问答
0
0
儿童下门牙双排牙是怎么回事
0
0
先天性下合第二双尖牙缺失
0
0
10岁男孩长出双排牙父母还自豪是营养好网友送医院吧
0
0
孩子长出"双层牙",只因家长总给孩子吃这种食物,孩子白遭罪
0
0
先天性下合第二双尖牙缺失
0
0
原创7岁男孩长"双排牙",需要一颗一颗拔掉,妈妈自责不已:都怪我
0
0
孩子竟然长出双排牙,家长们该怎么办?
0
0
为何现在"双排牙"的孩子越来越多?医生:跟家长脱不了干系!
0
0
孩子长出"双排牙",竟是因吃得太精细-爱问医生-小队长-爱问医生
0
0
怎么处理畸形中央尖
0
0
儿童出现双排牙怎么办
0
0
随机推荐
徐浩新曲男孩女孩封面造型曝光重温青涩少年时代
0
0
萌可爱q版动漫女生
0
0
十二星座#你最害怕的是什么老师呢?
0
0
2021背影情侣头像一男一女一对两张图片
0
0
fx 郑秀晶 krystal
0
0
回顾潘长江女儿潘阳拍戏不成嫁10亿富豪婚后带儿子长住娘家
0
0
雅痞古惑仔之郑伊健! 年轻时的 眉清目秀,即便是长发也掩盖不住帅气
0
0
姜珮瑶甜飒牛仔装亮相热带往事首映礼与彭于晏相互取暖
0
0
我就是演员 第3季
0
0
抖音超火渣男壁纸
0
0
安康市汉江黄昏掠影
0
0
闵玧其 - 堆糖,美图壁纸兴趣社区
0
0