八零图社
首页
最新
热门
排行
首页
最新
热门
排行
自然风光
动漫卡通
美食摄影
科技数码
人物写真
创意设计
壁纸背景
游戏原画
首页
二尖瓣关闭不全
图片详情
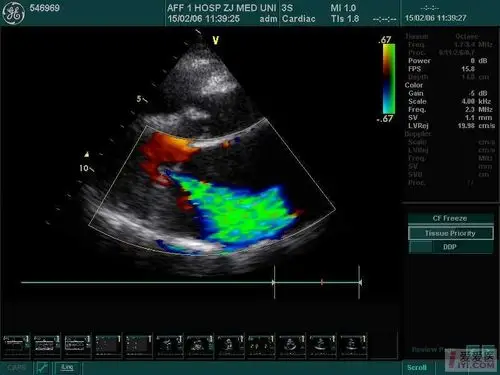
二尖瓣关闭不全是直接换瓣还是先考虑成形修复
0
浏览
0
喜欢
2439x2318
尺寸
2026-03-13 17:53:00
上传
查看原图
下载图片
图片链接
缩略图
原图
外链
专题
二尖瓣关闭不全
相关图片
二尖瓣关闭不全.png
0
0
二尖瓣关闭不全患者的福音,不开刀修复二尖瓣!
0
0
二尖瓣面容杂音:心尖部可闻及舒张期隆隆样杂音二尖瓣关闭不全杂音
0
0
二尖瓣关闭不全是直接换瓣还是先考虑成形修复
0
0
心脏彩超显示"二尖瓣三尖瓣有返流"严重吗? - 知乎
0
0
腱索粘连挛缩或二尖瓣交界扩张后伴有严重创伤性二尖瓣关闭不全者
0
0
心脏的心门被撬开细讲二尖瓣关闭不全那些事儿
0
0
【原创】二尖瓣狭窄(重度)伴二尖瓣关闭不全(轻中度)
0
0
二尖瓣关闭不全课件ppt
0
0
二尖瓣关闭不全哪些患者可以选择做修复
0
0
二尖瓣关闭不全的病理变化
0
0
金小鸥讲健康 | 知"心"系列 :什么是二尖瓣关闭不全?_心脏_瓣膜_科普
0
0
随机推荐
黄晓明上海豪宅曝光,满墙紫砂壶价值连城,自律男演员去油成功_工作
0
0
6969三国志曹仁立绘(图为13代)6969三国志14曹仁全信息
0
0
【新闻联播】2024年4月20日新闻联播的主要内容
0
0
5英寸iphone发光壁纸下载 ios12炫彩dock栏壁纸大全
0
0
贾文田(贾文田电影镜头)-天晟网
0
0
复古外墙深色乳胶漆自建房外墙漆民宿外墙漆屋檐深棕色咖啡色栗色
0
0
湖北十大美女明星「五」"旗袍女神"宋轶的瓜_漂亮_电视剧_群众
0
0
貂蝉金色仲夏夜之梦cos.每次跟你打王者 我总希望对面有人偷 - 抖音
0
0
昙花完全养护手册
0
0
美人鱼这硅胶鱼尾的质感我爱上了0469
0
0
杨紫李现
0
0
钢琴曲和它们背后的音乐故事
0
0