八零图社
首页
最新
热门
排行
首页
最新
热门
排行
自然风光
动漫卡通
美食摄影
科技数码
人物写真
创意设计
壁纸背景
游戏原画
首页
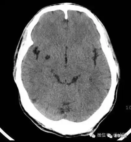
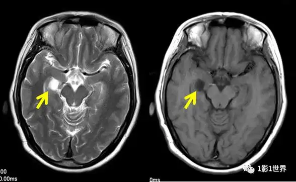
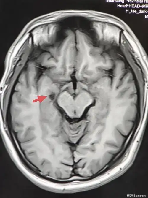
脉络膜裂囊肿ct图片
图片详情
脉络膜裂囊肿的影像学表现及鉴别诊断
0
浏览
0
喜欢
1080x645
尺寸
2026-03-14 06:24:41
上传
查看原图
下载图片
图片链接
缩略图
原图
外链
专题
脉络膜裂囊肿ct图片
相关图片
脉络膜裂囊肿的影像学表现及鉴别诊断
0
0
影像报告解读:脉络裂囊肿
0
0
深度学习脉络膜裂囊肿的病理与临床特点及影像诊断建议收藏
0
0
脉络膜裂内的良性囊变,是什么?
0
0
胸腰段蛛网膜囊肿
0
0
科普脉络膜裂囊肿
0
0
【ppt】脉络膜裂囊肿的影像学表现及鉴别诊断 – 影像ppt
0
0
儿童rathke裂囊肿的影像与临床 | 影像天地
0
0
脉络膜裂囊肿一例
0
0
脉络膜裂囊肿的影像学诊断与鉴别诊断
0
0
科普脉络膜裂囊肿
0
0
脉络膜裂囊肿的影像学表现及鉴别诊断–影像ppt
0
0
随机推荐
81建军节,又美又飒的军装美少女,特种女兵美女写真艺术照.
0
0
女生头像真人素颜第1页
0
0
沫兮气质男生高冷超酷成熟动漫头像
0
0
深二度浅二度烫伤恢复记录
0
0
miniso名创优品
0
0
唯美鲜花手机壁纸全面屏适用高清原图
0
0
创意字母s
0
0
年轻女子躺在按摩床上闭着眼睛放松女人spa沙龙
0
0
战"疫"声援|聆听国之大爱
0
0
金南俊
0
0
尼康d300s(单机)样张详细信息
0
0
波波头(bob haircut)是一种经典的女性短发造型,源自20世纪初的西方
0
0