八零图社
首页
最新
热门
排行
首页
最新
热门
排行
自然风光
动漫卡通
美食摄影
科技数码
人物写真
创意设计
壁纸背景
游戏原画
首页
地包天
图片详情
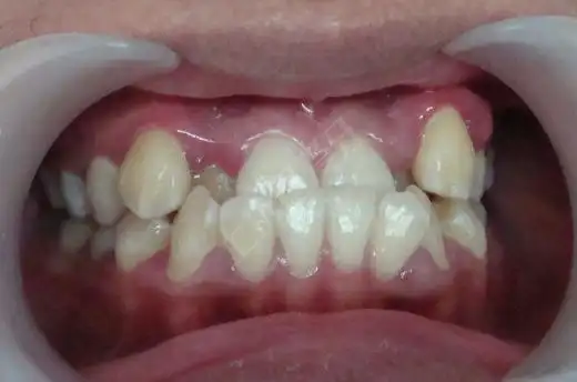
我是属于地包天的男生,因为地包天的我很自卑,请问下地包天在一般的镇
0
浏览
0
喜欢
609x810
尺寸
2026-03-12 21:31:12
上传
查看原图
下载图片
图片链接
缩略图
原图
外链
专题
地包天
相关图片
女孩地包天多大年龄矫正最好?
0
0
发现宝宝地包天什么时候矫正最合适
0
0
地包天矫正
0
0
两岁八个月开启地包天矫正之旅.
0
0
宝宝地包天,除了父母遗传,还可能是生活中这4个坏习惯引起的
0
0
地包天,正畸 正颌手术,九院史俊,手术费不到八万
0
0
小孩儿骨性地包天要不要做矫正小孩儿骨性地包天矫正方法
0
0
最勇敢的整牙小患者 3岁【地包天】
0
0
记录一下25岁地包天带牙套
0
0
地包天
0
0
地包天矫正多少钱20岁地包天矫正多少钱
0
0
儿童地包天兜齿照片
0
0
随机推荐
手绘火影忍者动漫人物卡卡西过程图
0
0
卡通动漫画卡通动漫画简单可爱
0
0
古代刺绣传统荷包手绘免费下载
0
0
相信很多的人都是纯吃饭,对于酒桌的东西也是不爱听的,有的涉及专业的
0
0
读书分享-选择最难有的路
0
0
皮肤及性传播疾病讨论版 - 爱爱医医学论坛
0
0
汪峰的婚姻经历一直备受关注,他的四段婚姻都被公众所知.
0
0
有没有好看的京剧壁纸
0
0
马家堡站建于1897年,位于北京永定门城墙之外,客货两用,连通京汉,京
0
0
武警警官学院学员一大队组织重温入党誓词暨入党宣誓仪式
0
0
a4田字格硬笔书法作品纸纸学生成人钢笔比赛书写书法用纸
0
0
集体照创意照拍不好?这几款姿势,总有一款适合你!
0
0