八零图社
首页
最新
热门
排行
首页
最新
热门
排行
自然风光
动漫卡通
美食摄影
科技数码
人物写真
创意设计
壁纸背景
游戏原画
首页
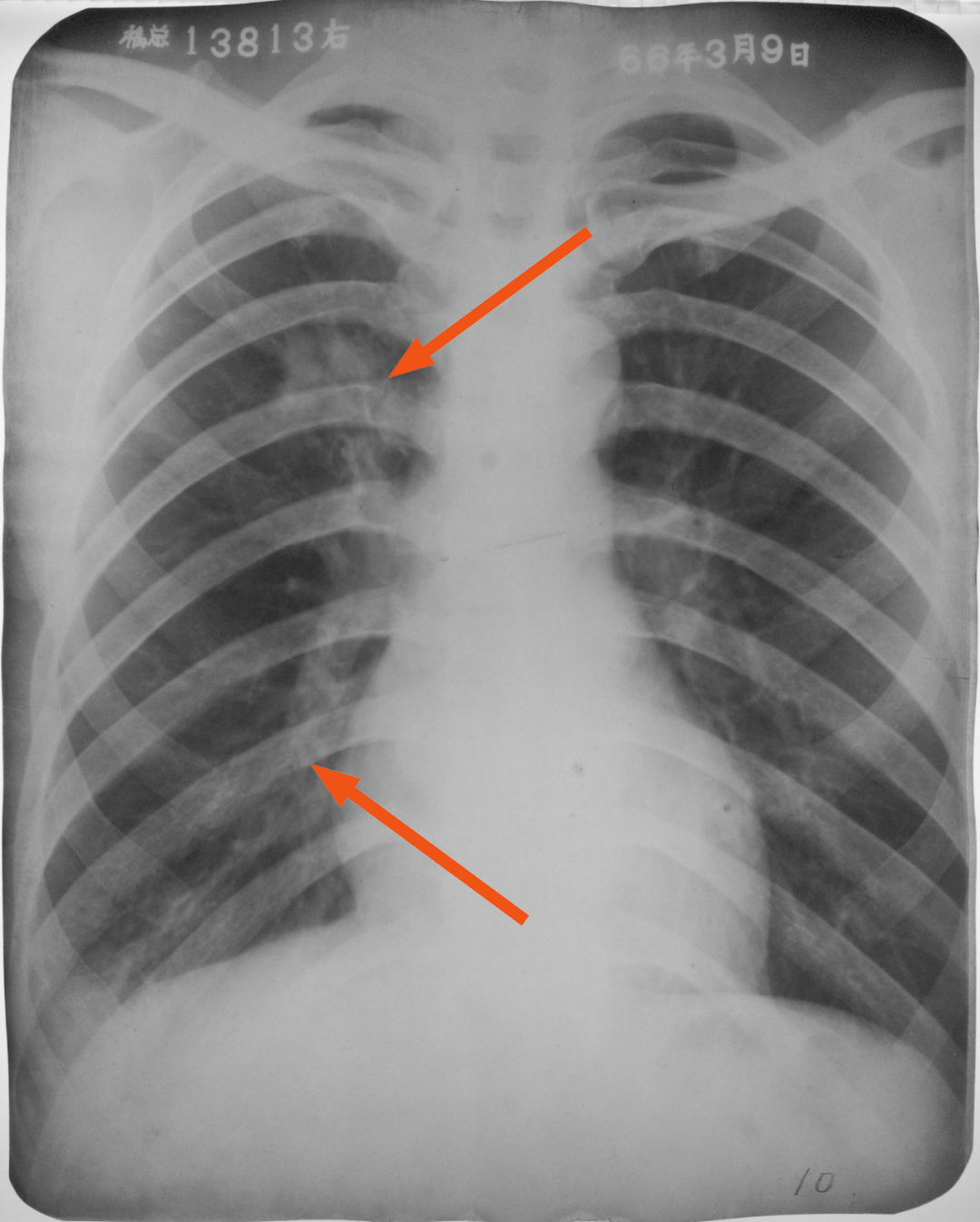
儿童肺炎胸片图解
图片详情
胸片如何看肺炎这篇文章帮你立刻入门
0
浏览
0
喜欢
1080x1347
尺寸
2026-03-13 18:21:33
上传
查看原图
下载图片
图片链接
缩略图
原图
外链
专题
儿童肺炎胸片图解
相关图片
小儿支气管肺炎的护理查房ppt
0
0
中医儿科学课件资料 正常胸片 支气管肺炎
0
0
读完此文,终于会看儿童胸片了_传播
0
0
儿童肺炎时胸片怎么看呢
0
0
中医院放射科带您解读小儿肺炎
0
0
一分钟教你看胸片,识别各种肺炎.
0
0
病毒性肺炎影像学特征
0
0
读完此文,终于会看儿童胸片了
0
0
怎样阅读胸片
0
0
一文鉴别肺炎,结核与肺部肿瘤
0
0
儿童肺炎时胸片怎么看呢
0
0
肺的x线支气管肺炎儿童
0
0
随机推荐
卡通星球宇宙免扣素材【免抠元素png】-90设计网
0
0
周冬雨启程巴黎时装周##周冬雨穿毛拖出发时装周
0
0
少年感 #小奶狗 #男孩子真是可爱的生物 #奶凶 你再不理 - 抖音
0
0
幼年小宋来看看人类幼崽小时候吧轩轩小时候也太可了小漂亮真不是吹的
0
0
拉字至上第六季thelwordseason6官方剧照剧照图片
0
0
宇宙少女程潇高清写真魅力十足微笑时美到窒息
0
0
三汐 新娘装 p站:14480233.
0
0
十二生肖logo设计烫金字体姓氏微信头像:天道酬勤(巳蛇篇)
0
0
舞台化妆造型质料
0
0
防弹少年团壁纸bts
0
0
刘耀文
0
0
突然刷到孙俪罗晋《卖房子的人》杀青,以为是一部新剧出炉,谁想到竟然
0
0