八零图社
首页
最新
热门
排行
首页
最新
热门
排行
自然风光
动漫卡通
美食摄影
科技数码
人物写真
创意设计
壁纸背景
游戏原画
首页
烧瓶心
图片详情
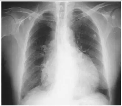
梨形心靴形心烧瓶心这也样看平片想不会都难
0
浏览
0
喜欢
1040x852
尺寸
2026-03-12 10:07:47
上传
查看原图
下载图片
图片链接
缩略图
原图
外链
专题
烧瓶心
相关图片
要么是心脏本身增大(心包积液—烧瓶心)要么是心包里面灌了水普大型
0
0
其典型胸片表现为心影增大,即所谓的烧瓶状心脏.
0
0
2019年医师实践技能考试x线检查
0
0
心包积液(大量):x线:心外形重度增大,各弓弧度消失,呈烧瓶样改变;上
0
0
沸腾烧瓶与心的图标在白色的背景
0
0
芯硅谷 s4018 厚壁鸡心磨口烧瓶,高硼硅玻璃,5ml-1000ml
0
0
情人节贺卡与两个化学烧瓶与爱情药水和蒸发心, 和文本照片
0
0
玻璃仪器-实验室仪器-烧瓶-化学仪器-旋转蒸发仪-上海禾汽官网
0
0
化学烧瓶心爱抽象圆圈背景平面颜色图标
0
0
烧瓶心我的妈呀第一次见这么标准的
0
0
化学烧瓶心爱蓝色固体标志
0
0
三爱思梨形烧瓶100ml29鸡心瓶高硼硅加厚耐高温a01825
0
0
随机推荐
三军仪仗队女兵个个英姿飒爽,气质非凡
0
0
scp-173图片_百度百科
0
0
"夫妻本是同林鸟",事实证明,郑伊健最后选了个最差的|蒙嘉慧|邵美琪
0
0
拍了爸妈同款90年代婚纱照,成片好爱
0
0
完蛋顾医生你坠入爱河啦肖战顾魏
0
0
人鱼
0
0
bcc佰策创意设计作品:松下江西办公空间
0
0
超轻粘土61帕恰狗春日蛋糕7815详细步骤图9815#超轻粘土
0
0
紧张的反义词
0
0
看了最新的若陀龙王视频之后.
0
0
宝马z4敞篷车报价及图片大全(车主宝马z4实拍测评)
0
0
欧洲景色太美?老顽童凯西看了还想看,我看了就想去!
0
0