八零图社
首页
最新
热门
排行
首页
最新
热门
排行
自然风光
动漫卡通
美食摄影
科技数码
人物写真
创意设计
壁纸背景
游戏原画
首页
双尖牙是哪颗牙
图片详情
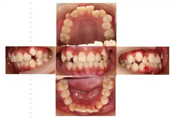
医生,我家孩子长了双排的牙齿,怎么办
0
浏览
0
喜欢
612x407
尺寸
2026-03-14 08:46:11
上传
查看原图
下载图片
图片链接
缩略图
原图
外链
专题
双尖牙是哪颗牙
相关图片
上排术前:牙齿拥挤,后牙咬合关系不佳 矫治通过减数4颗双尖牙,解除
0
0
上额 第一双尖牙10-11岁 换牙图片顺序图 作图 13: - 抖音
0
0
10个孩子里5个长双排牙,医生感叹:都是家长喂出来的!
0
0
双尖牙的介绍
0
0
10个孩子5个是双排牙,这是怎么回事呢?可能都是父母的错
0
0
杨天宝的整牙论,大概是长了12对智齿吧?
0
0
双尖牙
0
0
牙列拥挤病例拔除四颗双尖牙 - 好大夫在线
0
0
姚晨8岁儿子长出"双排牙",都怪父母太溺爱?原因没那么简单
0
0
两颗双尖牙的死与生
0
0
拔除上颌两颗双尖牙改善开唇露齿
0
0
什么样的牙齿要拔除呢? - vvsmile牙齿隐形矫正的回答 - 头条问答
0
0
随机推荐
手指文身_纹身图案手稿图片_彭画吉的纹身作品集
0
0
dior迪奥老花tote
0
0
旅游用维吾尔日常用语
0
0
但直到7年后的2021年,林依晨才在社交平台上官宣怀孕喜讯,后生下了一
0
0
如果还想获取更多名句内容可以点击 正能量人生格言座右铭短句 专题
0
0
第三种,水蒸气蒸馏法这个方法需要极强的动手能力,但是这个方法提取的
0
0
俄罗斯贝加尔湖风景唯美高清壁纸
0
0
萨博
0
0
清新风景头像
0
0
suse103清新桌面
0
0
与20年前的她相比,今天的于佳卉,展现出更多的坚韧和智慧.
0
0
刘昊然 最好的我们 余淮 - 堆糖,美图壁纸兴趣社区
0
0