八零图社
首页
最新
热门
排行
首页
最新
热门
排行
自然风光
动漫卡通
美食摄影
科技数码
人物写真
创意设计
壁纸背景
游戏原画
首页
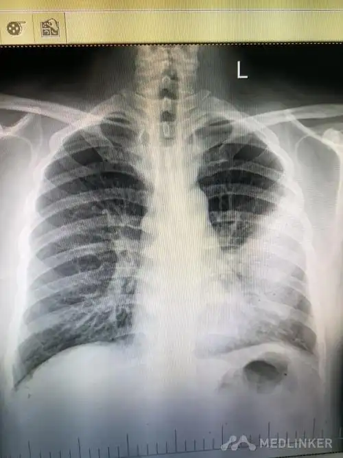
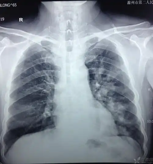
肺炎胸片影像图片
图片详情
胸片如何看肺炎,这篇文章帮你立刻入门!
0
浏览
0
喜欢
1000x796
尺寸
2026-03-13 18:18:40
上传
查看原图
下载图片
图片链接
缩略图
原图
外链
专题
肺炎胸片影像图片
相关图片
咳嗽一周,不发热,胸片,能否诊断大叶性肺炎 - 医学影像学讨论版
0
0
支气管炎改变这个词往往都是在影像学报告上所说的,就是说从胸片
0
0
病毒性肺炎的影像学表现
0
0
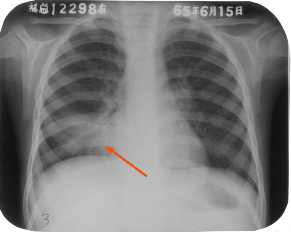
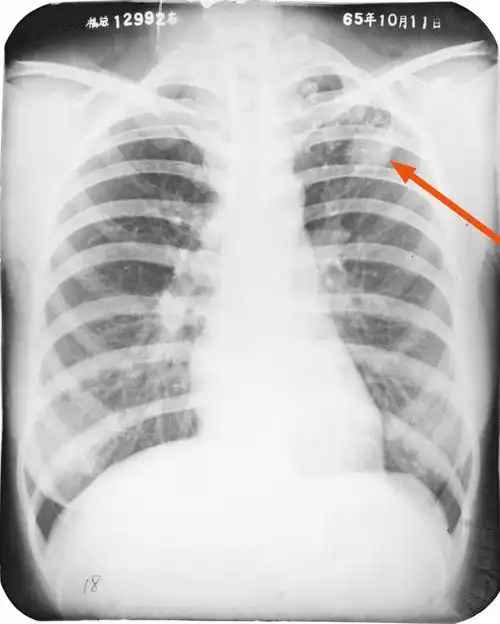
正常胸片 大叶性肺炎
0
0
更让人没想到的是,仅仅一天之后,再次复查胸片,发现有一侧的肺已经看
0
0
症状不典型的大叶性肺炎
0
0
胸片如何看肺炎,这篇文章帮你立刻入门!
0
0
支原体肺炎影像分析
0
0
大叶性肺炎?但体征不明显,如图
0
0
胸片如何看肺炎这篇文章帮你立刻入门
0
0
虽然咳嗽不严重,但医生也担心有肺炎可能,就给小明做了胸片检查,结果
0
0
【病例讨论】重症肺部感染一例 [病例帖]
0
0
随机推荐
彩铅画虾🦐.#随手画
0
0
严浩翔考古欢乐多考古严浩翔人类幼崽时期
0
0
佳昭 职业套装女夏季短袖衬衫套裙工装教师正装珠宝店酒店前台工作服
0
0
蓝色古风仙气闺蜜头像
0
0
撒贝宁一家端午出游,开388万豪华房车引热议,网友:钱哪来的?
0
0
别再说寸头是"精神小伙"发型了,男生剪这3种短发,帅气又潮流
0
0
玄武科技·即信荣获"2019年度金融科技领军品牌"
0
0
22款法式现代别墅分分钟让人入迷拥有一栋全村人都羡慕
0
0
树木简笔画
0
0
金属缠绕垫片不锈钢304/316基本型内外环型耐高温高压法兰用垫片
0
0
兴胜七字型卷板吊钩 卧卷门型吊具 双钩钢卷吊装工具 合金钢制造 钢卷
0
0
童话钢琴谱简谱-光良
0
0