八零图社
首页
最新
热门
排行
首页
最新
热门
排行
自然风光
动漫卡通
美食摄影
科技数码
人物写真
创意设计
壁纸背景
游戏原画
首页
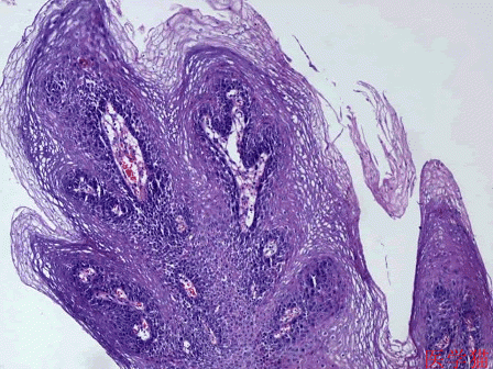
菜花样肿物
图片详情
患者男性,60岁,右手肘部一菜花样肿物,突出皮面,大小2cm×1cm×1cm,有
0
浏览
0
喜欢
448x336
尺寸
2026-03-14 11:04:20
上传
查看原图
下载图片
图片链接
缩略图
原图
外链
专题
菜花样肿物
相关图片
手部菜花状肿物一例 [病例帖]
0
0
瘢痕基础上发生菜花状肿物,表面溃疡
0
0
5cm大小肿物,表面呈菜花样生长,无明显渗出,质软,基底浸润,不易移动
0
0
头额部菜花样肿块疾病诊断与具体手术方法?
0
0
这个大疙瘩是啥,村里医生给的药贴上,但是还是流脓.
0
0
枕部的肿物
0
0
22岁女性 面部和双手长出菜花样赘生物
0
0
表现:好发于头面部及下肢,溃疡样生长,表面菜花样,伴出血及
0
0
鼻翼部菜花状恶性肿瘤
0
0
菜花状赘生物图片
0
0
鼻部菜花样增殖性结节,表面溃疡,边缘隆起,卷边,有光泽
0
0
肛周长出巨大"菜花"?普外专家妙手"摘花"——市中心医院 - 好大夫在线
0
0
随机推荐
男子标准体重
0
0
已回笼1000亿现金李嘉诚跑步回国传递出什么信息
0
0
埃及新首都cbd茁壮成长ing
0
0
14秒教会你画个假伤口真的好像真的啊
0
0
胎压冷车是多少值,我现在250跑几公里就上270了,等几天要跑长途冷车
0
0
高以翔终于让焦俊艳买机票,晚上在家照顾她,次日她俩恩爱好羡慕
0
0
眉头向下纹眉好不好看女 眉头向下眉尾向上的是什么眉
0
0
性感美女私房写真高清电脑桌面壁纸 第二辑_美女壁纸_壁纸下载_美桌网
0
0
zcp28i的喜欢 | lofter(乐乎) - 让兴趣,更有趣
0
0
「吹落的树叶」推哥好会撩哦
0
0
原创精选十款短发控最喜欢的发型准备剪短发的女生了解一下吧
0
0
演员李琦不顾医生劝阻,每天2包烟,顿顿8两白酒,今身体状况如何_生活
0
0