八零图社
首页
最新
热门
排行
首页
最新
热门
排行
自然风光
动漫卡通
美食摄影
科技数码
人物写真
创意设计
壁纸背景
游戏原画
首页
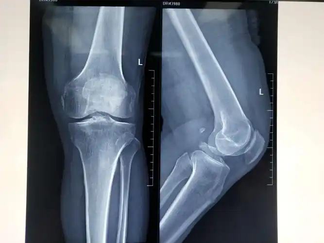
胫骨髁间骨折
图片详情
关节镜下单骨道单对纽扣钢板固定治疗大块胫骨髁间嵴骨折
0
浏览
0
喜欢
2667x2000
尺寸
2026-03-14 15:43:44
上传
查看原图
下载图片
图片链接
缩略图
原图
外链
专题
胫骨髁间骨折
相关图片
胫骨髁间棘骨折
0
0
胫骨平台髁间嵴骨折
0
0
胫骨髁间嵴骨折一例
0
0
浅谈胫骨髁间棘撕脱骨折关节镜下治疗
0
0
胫骨平台髁间脊骨折病例201811 - 好大夫在线
0
0
胫骨髁间棘骨折术前dr片!
0
0
右腿膝盖髁间棘撕脱骨折,去年做了微创手术,膝盖打了三个小洞,打了两
0
0
胫骨髁骨折患者临床表现有膝关节疼痛等石膏固定可以防止畸形
0
0
沧州市人民医院骨三科关节镜微创治疗胫骨髁间棘撕脱骨折伴外侧半月板
0
0
【病例讨论】一例胫骨平台骨折,请大家讨论治疗方法! [病例帖]
0
0
被自己的肌肉"撕"到骨折?年轻人要注意啊,不能太猛
0
0
胫骨平台髁间脊骨折病例201811 - 好大夫在线
0
0
随机推荐
假小子超短发适合卷烫吗 逆袭个性长脸女发型打造
0
0
牛奶梨阳光彩虹小白马
0
0
宋亚轩萌探q版合集太可爱啦
0
0
人鱼线是什么男性生理现象腹肌下半部接近骨盆上方的v形线条
0
0
鲜e每日c巨星梁咏琪康师傅饮品系列广告海报
0
0
东方之珠简谱
0
0
前方高能
0
0
可爱的大象卡通 ilustration
0
0
鸭舌帽美女清新活力户外写真图片
0
0
李幸倪
0
0
space尤克里里谱taylor swift ukulele谱弹唱示范简谱_blank space
0
0
玉米须的功效
0
0