八零图社
首页
最新
热门
排行
首页
最新
热门
排行
自然风光
动漫卡通
美食摄影
科技数码
人物写真
创意设计
壁纸背景
游戏原画
首页
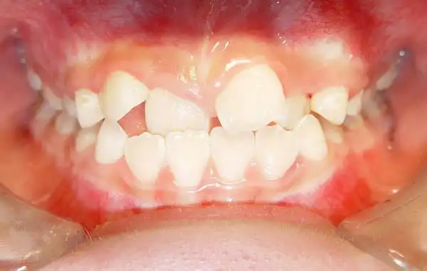
牙齿矫正失败图片
图片详情
图:因为我矫正之前就有深覆合的问题 不过失败之处在于他们不仅没有给
0
浏览
0
喜欢
720x497
尺寸
2026-03-14 05:10:57
上传
查看原图
下载图片
图片链接
缩略图
原图
外链
专题
牙齿矫正失败图片
相关图片
虎牙拥挤 反合偏合矫正案例.
0
0
换牙期的牙齿不齐矫正1
0
0
深圳博仕口腔矫正牙齿失败.#正畸 戴牙套快四年了,真的后悔莫 - 抖音
0
0
牙齿矫正失败了
0
0
矫正牙齿第三个月发现以前上下对齐的门牙中缝现在反而歪了然
0
0
牙齿不齐~微正畸案例分享
0
0
一次失败的牙齿矫正
0
0
牙错位可以通过牙齿矫正改变牙齿形态,重现牙齿的自然美观.
0
0
牙齿少了一颗,再矫正,带了一年没到的牙套发现牙床越来越斜这是矫正
0
0
牙齿矫正失败
0
0
成功的矫治千篇一律失败的正畸千差万别牙齿矫正为什么会失败
0
0
邯郸市牙病防治所隐适美隐形矫正初戴外院矫正失败二次矫正
0
0
随机推荐
斗罗大陆147集丨疾风魔狼再进化蓝银霸王枪pk疾风魔狼唐三欲往庚辛城
0
0
00后体育生的小腹肌到底有多好看?
0
0
ninepercent蔡徐坤
0
0
2013生男生女清宫图试试准不准
0
0
真石漆施工常见问题
0
0
许佳琪黑色魅力齐肩短发明眸红唇一身黑色吊带裙装
0
0
两侧铲短男士发型搭配顶部后梳背头造型,自信又霸气,帅到停不下来!
0
0
人鱼
0
0
tf家族三代快本首秀舞台
0
0
梳妆台卧室现代简约收纳一体化妆台主卧ins风化妆桌7天无理由退换3年
0
0
银婚祝福语
0
0
山东烟台—漫步 游 蓬莱 三仙山 三仙山风景区位于烟台市蓬莱区北端的
0
0