八零图社
首页
最新
热门
排行
首页
最新
热门
排行
自然风光
动漫卡通
美食摄影
科技数码
人物写真
创意设计
壁纸背景
游戏原画
首页
整牙前后对比
图片详情
整牙=换脸?细数大众关于矫正疑问大盘点
0
浏览
0
喜欢
478x365
尺寸
2026-03-13 03:56:19
上传
查看原图
下载图片
图片链接
缩略图
原图
外链
专题
整牙前后对比
相关图片
牙齿矫正前后对比照
0
0
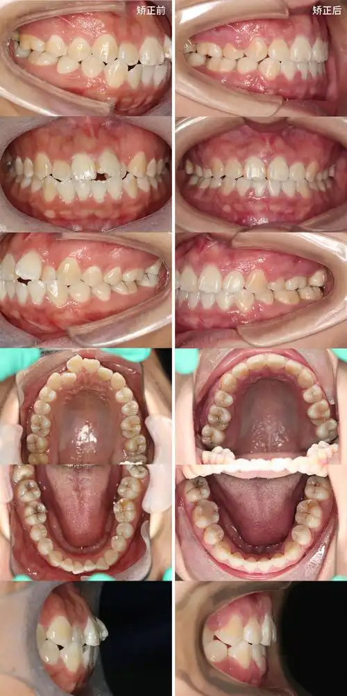
矫正前后口内像对比
0
0
整容不如整牙,那么问题来了,整牙要多少钱?
0
0
牙齿矫正前后对比实在太大啦!30多岁都不算晚!
0
0
整牙前后同角度对比照来啦
0
0
虎牙矫正前后对比图
0
0
新闻明星做陶瓷牙_明星整牙前后对比照,林允老了十岁,看到胡歌,牙齿都
0
0
原创有种差距叫"明星整牙", 杨幂气质, 而她堪比"整容"
0
0
娱乐圈明星整牙变形记明星牙齿矫正前后对比大盘点
0
0
女星整牙前后对比:林心如整后笑容可人,唐嫣从"土妞"变女神
0
0
矫正前后面像对比
0
0
矫正前后口内像对比
0
0
随机推荐
2021年属猴女转运微信头像【28篇)】
0
0
宝蓝色保留有蓝色的神秘,但却多了一分鲜丽,作为今季最流行的颜色之一
0
0
孩子o型腿,x型腿是什么原因造成?不要担心,2岁前可适当干预
0
0
霸气侧脸高冷女生头像2021网红御姐气质头像
0
0
享受人的快乐!tvb前男星邓兆尊被女演员公开审判,并声称尊重女性 - 微
0
0
励志墙贴房间学生鼓励语小贴纸学习儿童房搞笑卧室文字贴画背景墙优惠
0
0
盘点下各版盗墓笔记小哥无邪
0
0
夫妻海棠花
0
0
【暑期社会实践】农大学子携文化下乡共谱警民联欢
0
0
脏辫动漫头像图片cp
0
0
关键词:海报素材电影海报唯美的背景海报背景星空背景蓝绿色星云大气
0
0
分享一组纯色壁纸背景图
0
0