八零图社
首页
最新
热门
排行
首页
最新
热门
排行
自然风光
动漫卡通
美食摄影
科技数码
人物写真
创意设计
壁纸背景
游戏原画
首页
脉络膜骨瘤
图片详情
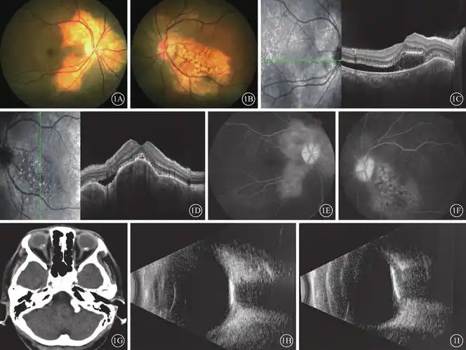
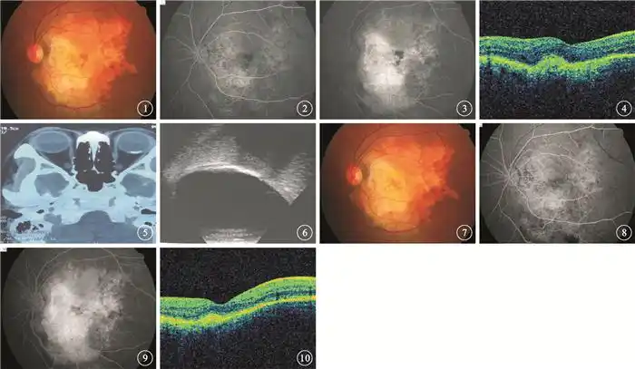
脉络膜骨瘤多种眼底影像特征对比观察
0
浏览
0
喜欢
700x608
尺寸
2026-03-14 06:22:23
上传
查看原图
下载图片
图片链接
缩略图
原图
外链
专题
脉络膜骨瘤
相关图片
双眼脉络膜骨瘤一例
0
0
【资源】脉络膜骨瘤
0
0
双眼脉络膜骨瘤一例
0
0
【资源】脉络膜骨瘤
0
0
分享一个双眼脉络膜骨瘤的病例 [病例帖]
0
0
脉络膜骨瘤扫频源光相干断层扫描影像特征
0
0
一看就会脉络膜骨瘤影像表现
0
0
玻璃体腔注射雷珠单抗治疗脉络膜骨瘤继发脉络膜新生血管一例
0
0
一看就会脉络膜骨瘤影像表现
0
0
考虑脉络膜黑色素瘤吗
0
0
一看就会脉络膜骨瘤影像表现
0
0
脉络膜骨瘤ppt课件
0
0
随机推荐
狼有多凶猛?一个手持铁棍的成年男子,能否斗过一头狼?
0
0
微笑表情包
0
0
涵_注册号50317582_商标注册查询 - 天眼查
0
0
舜网海报集你努力的样子很有光芒
0
0
nct
0
0
杨紫终于凹对造型,只是把头发留长一些加款法式刘海,就意外时尚
0
0
思想起_歌谱简谱_哆来咪123曲谱网
0
0
挠头表情包 微信蘑菇头高清挠头系列表情包
0
0
手绘女生头像可爱头像#动漫头像#可爱头像# 闺蜜头像#朋友圈背景图
0
0
网页版的qq登录界面
0
0
李承铉
0
0
妲己热情桑巴王者荣耀
0
0