八零图社
首页
最新
热门
排行
首页
最新
热门
排行
自然风光
动漫卡通
美食摄影
科技数码
人物写真
创意设计
壁纸背景
游戏原画
首页
每颗牙齿的名称
图片详情
牙齿
0
浏览
0
喜欢
492x511
尺寸
2026-03-14 03:25:36
上传
查看原图
下载图片
图片链接
缩略图
原图
外链
专题
每颗牙齿的名称
相关图片
各种牙齿的名称功能及矫正
0
0
大连齿医生口腔科普 你的每颗牙齿都有名字,你知道叫什么吗?
0
0
《牙齿咔咔咔》—沁园中心幼儿园大班组十一月主题活动
0
0
孩子长了双排牙我后悔莫及最伤孩子牙齿的不是糖竟然是
0
0
"保护牙齿,从小做起."——旧馆镇时代幼儿园中班组健康活动.
0
0
科普我们的每一颗牙齿分别叫什么名字你知道吗
0
0
有多少牙齿拔智齿多少钱一颗2021价格表
0
0
我们通过形象的ppt图片认识了牙齿的名字(门牙,尖牙,磨牙)
0
0
朱寨镇闫集幼儿园大一班班本课程《探秘——牙齿》
0
0
"保护牙齿,从小做起."——旧馆镇时代幼儿园中班组健康活动.
0
0
牙齿矫正为什么有的人要拔牙,还要拔掉4颗呢? - 知乎
0
0
孩子新换的牙齿长歪了怎么办来看儿童换牙攻略
0
0
随机推荐
如何评价刘昊然的脚丫?
0
0
3万人订阅订阅02:13大秦赋_75_精彩片段小鹅剧精彩
0
0
看起来不好惹的动漫闺蜜头像
0
0
12星座简笔画
0
0
火影忍者##宇智波带土##少年jump吧
0
0
mackinac bridge, sunset, scenic image show caption
0
0
杨恭如初秋休闲写真笑容迷人
0
0
q版卡通小人物
0
0
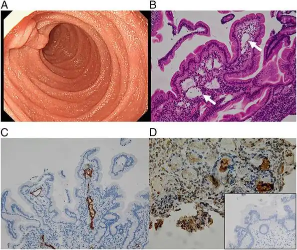
图a.肠镜显示小肠粘膜上分布有一些白色的绒毛及部分乳糜性渗出;图b.
0
0
新西兰黑金鲍 黑金鲍鱼
0
0
凝静的厨房做的很"浪费"米饭的家常菜之一-------干锅菜花
0
0
美人鱼胸衣有点可爱
0
0