八零图社
首页
最新
热门
排行
首页
最新
热门
排行
自然风光
动漫卡通
美食摄影
科技数码
人物写真
创意设计
壁纸背景
游戏原画
首页
舟骨骨折
图片详情
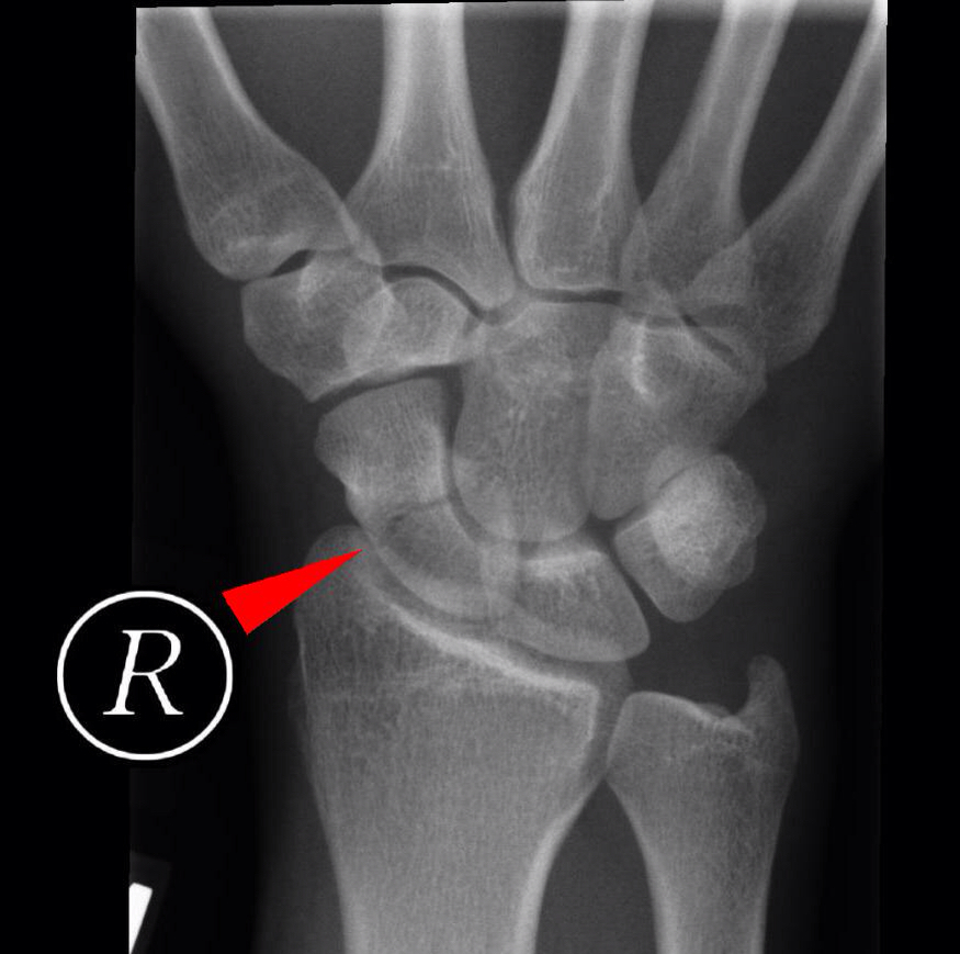
手舟状骨骨折后石膏一个半月后,揭开石膏医生说石膏时间长不好.
0
浏览
0
喜欢
875x869
尺寸
2026-03-14 03:56:41
上传
查看原图
下载图片
图片链接
缩略图
原图
外链
专题
舟骨骨折
相关图片
手腕舟骨骨折经历
0
0
左手手腕舟骨骨折,这受伤程度严重吗?目前已夹板固定敷药8天.
0
0
腕舟骨骨折
0
0
右手手腕舟骨骨折恢复过程
0
0
避免腕舟骨骨折并发症一定注意这几点
0
0
一例足舟骨第五跖骨基底粉碎性骨折的治疗
0
0
腕舟骨骨折
0
0
图片发自160医生app13左腕舟骨骨折13图片发自160医生app13皮肤
0
0
不能忽视的骨折——腕舟状骨骨折_网易订阅
0
0
腕舟骨骨折经皮微创治疗 - 好大夫在线
0
0
手腕舟骨骨折经历
0
0
帮我看一下我的左手舟状骨骨裂的愈合情况,今年3月
0
0
随机推荐
唐三拿出昊天锤依然吃力小舞默默祈祷只能相信唐三
0
0
赵薇母亲魏启颖儿子离婚痛失52亿女儿消失荧屏丈夫也去世
0
0
动漫壁纸美图鬼灭之刃第一弹蝴蝶忍香奈惠香奈乎
0
0
刘德凯个人资料(刘德凯:5段感情2段婚姻,他是刘雪华永远的痛,今晚年
0
0
学党史守初心担使命2019年专题学习pptpptx30页
0
0
钟楚曦和陈伟霆合作的电影可以说性张力满满,接受采访能把陈伟霆说到
0
0
怎么画妈妈的简笔画母亲的画法图片大全巧巧简笔画妈妈和孩子简笔画
0
0
【福利】虎年斗图不能输!这套表情包你一定用得上
0
0
纹身遮盖
0
0
z世代由我定义# [打call]火箭一飞冲天
0
0
从建厂酿造的第一天起 咱们怀庄酒业的经营理念就是 "诚信酿造未来"
0
0
公历节日手抄报党旗引领我们成长手抄
0
0