八零图社
首页
最新
热门
排行
首页
最新
热门
排行
自然风光
动漫卡通
美食摄影
科技数码
人物写真
创意设计
壁纸背景
游戏原画
首页
环堤征
图片详情
x线诊断要点丨胃肿瘤的那些概念和征象
0
浏览
0
喜欢
381x404
尺寸
2026-03-12 01:40:39
上传
查看原图
下载图片
图片链接
缩略图
原图
外链
专题
环堤征
相关图片
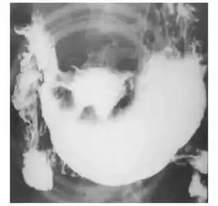
影龛位胃腔轮廓于内 大浅而的影呈半龛形月 周围规则癌不隆性起呈堤环
0
0
由于炎症肿胀,正位观龛影周围常出现环形透光区称为月晕征(图5-23),其
0
0
什么是胃癌的指压迹征,裂隙征,环堤征,半月征,袖口征,肩胛征?
0
0
溃疡型:龛影大多成多角形;周围有清楚的环堤;周围皱襞中断,末段呈杵状
0
0
溃疡型:龛影大多成多角形;周围有清楚的环堤;周围皱襞中断,末段呈杵状
0
0
x线诊断要点丨胃肿瘤的那些概念和征象
0
0
总投资13亿,菏泽最大公园这样建!_环堤
0
0
图3-41 胃溃疡型癌,钡餐检查,见腔外不规则龛影,有"环堤"及"指压迹"征
0
0
龛影位于胃轮廓之内,龛影外围绕以宽窄不等的透明带即 环堤,轮廓不
0
0
胃溃疡型癌,钡餐检查,见腔外不规则龛影,有"环堤"及"指压迹"征图3-42
0
0
僵硬为特征溃疡型:龛影大多成多角形;周围有清楚的环堤;周围皱襞中断
0
0
陆军军医大学第二附属医院
0
0
随机推荐
程潇绝美婚纱照
0
0
思念无期
0
0
ai系二次元风男生壁纸
0
0
鬼灭之刃# 温柔微笑姐姐蝴蝶忍#壁纸# #动漫插画欣赏
0
0
七芒星法阵 无水印(水印不影响图像) - 木耳批发 - 东北木耳批发
0
0
logo创意设计如何展现出他的独特风格
0
0
白月光与朱砂痣
0
0
广东小老板办婚宴,海鲜和25年五粮液管够,来宾只随6元礼,为何?
0
0
网图头像动漫女霸气
0
0
【蓉锦医药网】-嘉事蓉锦医药专营官网-综合性医药
0
0
躺沙发的厂家躺沙发的选购技巧有哪些
0
0
【与恶魔有约‖金裕贞】剑舞纯享版
0
0