八零图社
首页
最新
热门
排行
首页
最新
热门
排行
自然风光
动漫卡通
美食摄影
科技数码
人物写真
创意设计
壁纸背景
游戏原画
首页
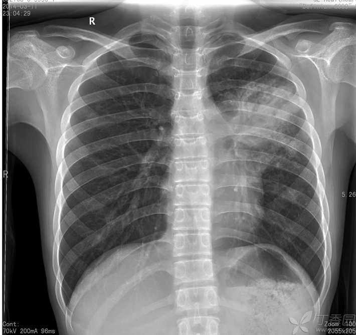
大叶性肺炎x线表现图
图片详情
于2014-02-27拍胸片,诊断为大叶性肺炎; 在当地诊所抗炎治疗,10天左右
0
浏览
0
喜欢
710x668
尺寸
2026-03-13 18:18:25
上传
查看原图
下载图片
图片链接
缩略图
原图
外链
专题
大叶性肺炎x线表现图
相关图片
不明病原体大叶性肺炎1例:典型影像学表现不典型病原体
0
0
多图一文看懂大叶性肺炎的影像表现
0
0
正常胸片 大叶性肺炎
0
0
原创经典大叶性肺炎
0
0
5.生化血凝无异常.血气正常.胸部ct:右肺上叶大叶性肺炎.
0
0
右中叶大叶肺炎
0
0
咳嗽一周不发热胸片能否诊断大叶性肺炎
0
0
右上叶大叶性肺炎
0
0
疑大叶性肺炎 一例 持续更新中
0
0
【影像读片】大叶性肺炎?
0
0
《春季病例回顾》 教科书式大叶性肺炎一例
0
0
大叶性肺炎.
0
0
随机推荐
五二班作业封面设计
0
0
好看的治愈系蓝色背景图
0
0
电影真三国无双#古力娜扎的貂蝉也太美了
0
0
从太空回望的机器人未来技术人工智能美好未来
0
0
45张电工常用电动机控制电路图值得收藏
0
0
萌宠喵星人呆萌可爱高清桌面壁纸
0
0
加拉特隆能够打赢盖亚奥特曼至高形态吗?盖亚:试试看
0
0
蓝色的眼睛动漫女孩回头看蝴蝶街道云
0
0
原创|干饭人系列闺蜜 情侣头像9990#头像 #可爱 #情侣 - 抖音
0
0
壁纸丨是适合换波帅气聊天背景图了
0
0
本周弹奏的古筝曲《高山流水》,与古琴曲无传承关系.
0
0
王者荣耀男生头像 超帅霸气的王者荣耀男生专属头像图片_游戏头像
0
0