八零图社
首页
最新
热门
排行
首页
最新
热门
排行
自然风光
动漫卡通
美食摄影
科技数码
人物写真
创意设计
壁纸背景
游戏原画
首页
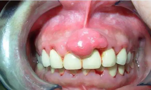
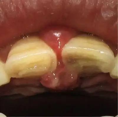
牙龈瘤图片 初期 肉瘤
图片详情
5个多月的牙龈瘤,好像3个月的时候开始的差不多,现在已经很大很大很
0
浏览
0
喜欢
375x500
尺寸
2026-03-14 12:42:39
上传
查看原图
下载图片
图片链接
缩略图
原图
外链
专题
牙龈瘤图片 初期 肉瘤
相关图片
五岁小孩下牙龈上长了一个红红的小肉瘤,摸上软软的不痛不痒是怎麼
0
0
牙龈瘤
0
0
牙龈瘤
0
0
牙龈瘤
0
0
牙龈瘤初期图片 (33)_有来医生
0
0
短科普丨牙龈瘤是真肿瘤吗
0
0
牙龈瘤
0
0
牙疼过后牙龈上出现小肉瘤怎么办
0
0
右侧牙根牙龈处长个肉揪 是瘤吗
0
0
牙龈瘤长什么样?
0
0
牙龈瘤初期图片 (33)_有来医生
0
0
牙龈上长了个小包不疼不痒的.请问是什么病啊
0
0
随机推荐
超级炫酷的动漫男主壁纸合集,帅爆了
0
0
娱乐圈中的中年男明星,这四位你最喜欢谁?
0
0
撞坏的汽车特写
0
0
我说不出来我有多难过,我也无法用语言来表达我的心情
0
0
可爱手绘卡通猫咪表情包悄咪咪
0
0
孙艺珍|女演员|性感美女|安妮海瑟薇|安妮.
0
0
国潮童装礼服黑色霸气时装走秀女童模特国风儿童礼服
0
0
藏文翻译汉字在线一键翻译双向翻译
0
0
一首新鸳鸯蝴蝶梦超动听展昭与连彩云篇龚慈恩的盛世美颜
0
0
解锁《名侦探柯南》的魅力:一部经典推理动漫的故事与人性_影视资讯
0
0
川崎versys-x300拉力车,摩旅代步两不误,具有强悍通过性
0
0
眼睛深邃迷人美女图片
0
0