八零图社
首页
最新
热门
排行
首页
最新
热门
排行
自然风光
动漫卡通
美食摄影
科技数码
人物写真
创意设计
壁纸背景
游戏原画
首页
科比亲笔签名
图片详情
科比 布莱恩特亲笔签名 8号 皮革号码 裱框 含sa uda证书
0
浏览
0
喜欢
750x611
尺寸
2026-03-13 03:35:59
上传
查看原图
下载图片
图片链接
缩略图
原图
外链
专题
科比亲笔签名
相关图片
5275黑曼巴科比布莱恩特亲笔签名照片
0
0
13248黑曼巴科比布莱恩特kobebryant亲笔签名照附证书
0
0
5420美国nba巨星科比布莱恩特亲笔签名照片
0
0
科比亲笔签名篮球带证书
0
0
kobe #科比 亲笔签名球衣 #湖人队紫色24号 含证书 - 抖音
0
0
"黑曼巴"科比布莱恩特(kobe bean bryant)亲笔签名 湖人队客场球衣
0
0
科比·布莱恩特亲笔签名湖人24号客场球衣,sw版本
0
0
科比布莱恩特亲笔签名 有意dd
0
0
图文科比沈阳媒体见面会科比亲笔签名篮球
0
0
科比亲笔签名球衣
0
0
科比亲笔签名照 科比签名照送女朋友送同学 周边后援礼物
0
0
匿名2016-04-26 18:50 这是用手机软件装b神器里的恶搞类里的科比
0
0
随机推荐
ins风女生狼尾发型 时尚艳压身边的男生_2023年流行发型 - 美发站
0
0
七巧板 木制彩色diy智力拼图七巧板积木玩具 儿童益智玩具 批发
0
0
南宁地铁1号线列车准备正式开跑
0
0
搞笑内涵:你竟然上女厕所偷看我!
0
0
手工刻绘-彭于晏
0
0
[图文]我收藏的几张大辫子图(3)
0
0
有关于父亲的感动照片吗?急求越多越好.
0
0
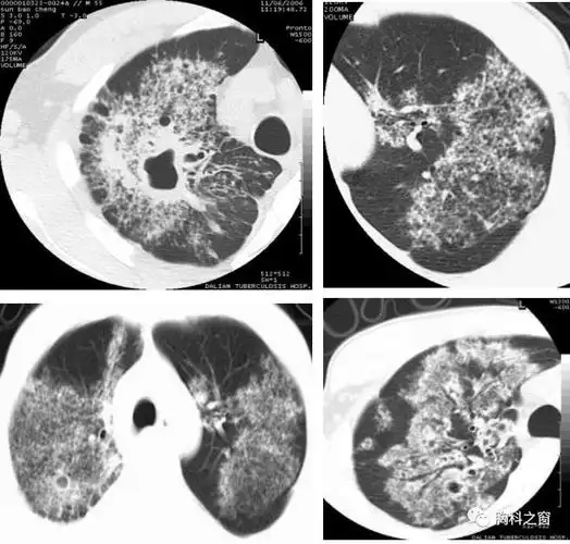
肺结核的薄层ct征象树芽型的病理意义
0
0
n95级医用防护口罩医疗级别官方正品成人透气医护用囗2299
0
0
【原神/去衣改图】这样的胡桃你还喜欢吗(上)
0
0
女富豪纪凯婷30岁500亿资产却执意要嫁给农村穷小子
0
0
梅兰竹菊简笔画教程
0
0