八零图社
首页
最新
热门
排行
首页
最新
热门
排行
自然风光
动漫卡通
美食摄影
科技数码
人物写真
创意设计
壁纸背景
游戏原画
首页
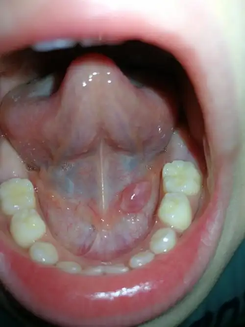
孩子舌头下面长小肉球
图片详情
你们家宝宝舌头下面有这样的肉肉凸起吗?想知道是不是正常的?
0
浏览
0
喜欢
400x400
尺寸
2026-03-12 18:04:10
上传
查看原图
下载图片
图片链接
缩略图
原图
外链
专题
孩子舌头下面长小肉球
相关图片
儿子舌头底下有个小肉芽,早就有,但是最近几天长大了,长的挺快
0
0
小孩舌头下面长了个肉疙瘩是怎么回事?
0
0
1岁半的男宝宝舌头下面长了像肉一样的东西有人知道么着急
0
0
孩子舌头下长了个小肉团原来是ta
0
0
孩子舌头下长了个小肉团,原来是ta……_手术_黏液_舌下腺
0
0
孩子十岁了舌头下面长了一个亮晶晶的小包是手足口病吗
0
0
舌头下面长了个小肉块,不知道是怎么回事
0
0
四岁四个月宝宝,外地玩了一周,舌头下突然开始长出带尖的泡,还发烧.
0
0
有人舌头下面长过这个吗 不疼不痒 一个月了 ?
0
0
一岁半宝宝舌头底下有粒白色的脓泡,这个是什么?
0
0
你好医生我舌头下面长了一个很大的肉疙瘩很小的时候就有以为
0
0
舌头下面有两个肉疙瘩很硬,不痛也不痒,有好多年了,不知道是什么?
0
0
随机推荐
景甜芭莎慈善夜造型96,身着一袭金色薄纱几何镂空长裙……_甜甜_aws
0
0
曹曦文短发清爽干练写真图片
0
0
新生代小花刘雪晴甜美来袭
0
0
神经麻痹,又称周围性面瘫,急性发作周围性面瘫者若得不到及时的治疗或
0
0
天气记录表,二年级
0
0
2019纽约车展:全新中大型车凯迪拉克ct5首发亮相
0
0
张国荣小哥哥…我发的都是自己画的,别来问了
0
0
iphonexxs壁纸动漫男
0
0
博大高压打气气泵工业活塞皮带汽修木工喷漆其他机械五金新
0
0
你是我的眼:每个人都有自己的活法,毕竟所处的境遇都不一样-影视综
0
0
据说是父母最爱的微信头像?_情侣_开心_爸妈
0
0
任泉和李小璐
0
0