八零图社
首页
最新
热门
排行
首页
最新
热门
排行
自然风光
动漫卡通
美食摄影
科技数码
人物写真
创意设计
壁纸背景
游戏原画
首页
苹果好看壁纸霸气
图片详情
苹果macosxlion系统原版壁纸下载
0
浏览
0
喜欢
3200x2000
尺寸
2026-03-14 09:27:56
上传
查看原图
下载图片
图片链接
缩略图
原图
外链
专题
苹果好看壁纸霸气
相关图片
壁纸,apple,logo,苹果
0
0
苹果紫色漩涡 640x1136 iphone 5/5s/5c/se 壁纸,图片,背景,照片
0
0
好看的大红色苹果高清壁纸图片
0
0
壁纸,apple,苹果
0
0
壁纸,apple,苹果
0
0
苹果壁纸1
0
0
壁纸苹果apple
0
0
壁纸,apple,苹果
0
0
冰川国家公园的落基山脉苹果osxmountainlion高清壁纸
0
0
下载高清原图 查看清晰大图 扫描到手机 回车桌面 > 电脑壁纸 > 系统
0
0
apple苹果主题个性广告桌面壁纸
0
0
成熟的苹果,地面,叶子,草 壁纸 - 1920x1080 全高清
0
0
随机推荐
【包邮包税】 dior迪奥 21年春夏 女士 手提包 手袋-蓝色茹伊印花刺绣
0
0
遇见你之前电影 是偏爱,是眼神不由自主的跟着你,给予鼓励和肯定
0
0
现代简约黑白装饰画客厅极简画圆形水墨山水
0
0
晚夜微雨问海棠-完美版-钢琴谱文件(五线谱,双手简谱,数字谱,midi,pdf
0
0
潜水铁甲鲨双皮筋鱼枪深海浮潜自由潜夜潜高精度射鱼神器潜水装备定制
0
0
像史泰龙一样强壮的肌肉女兰博你们见过吗?
0
0
杨洋荷尔蒙指数爆表,剪寸头拍写真意外迷人,这颜值绝了!
0
0
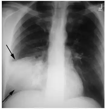
大叶性肺炎
0
0
提问:我是女生想练胸,不但不知道做什么动作,还怕变小,怎么办?
0
0
肖战超话#肖战壁纸无水印#又去偷了点拼接壁纸拿来做微信聊天背景图
0
0
这个和尚是谁
0
0
联发科
0
0