八零图社
首页
最新
热门
排行
首页
最新
热门
排行
自然风光
动漫卡通
美食摄影
科技数码
人物写真
创意设计
壁纸背景
游戏原画
首页
儿牙
图片详情
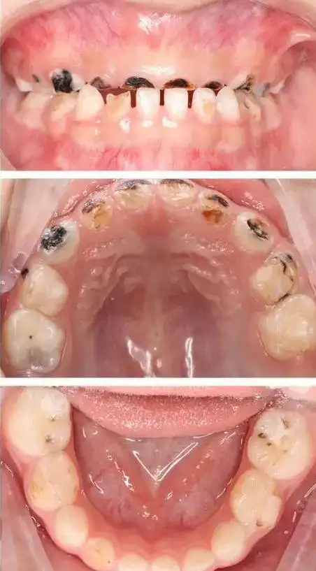
儿牙问题别担心儿童口腔专家葛立宏教授与你相约青苗
0
浏览
0
喜欢
640x592
尺寸
2026-03-14 13:56:58
上传
查看原图
下载图片
图片链接
缩略图
原图
外链
专题
儿牙
相关图片
儿牙专栏 | 乳牙坏了需要治吗?_龋齿_龋齿介绍 - 好大夫在线
0
0
昆明儿牙科普:乳牙萌出的时间与顺序是怎样的?_牙齿_上颌_下颌
0
0
儿牙300问第十二期用案例来学习助你成为更强口腔医师
0
0
口腔知识 / 儿牙
0
0
小朋友长双排牙是什么原因南昌维乐口腔看儿牙如何
0
0
在健美与快乐中我们一起成长——广济口腔特色科室之儿牙中心
0
0
很多的家长在 郑州友好牙科咨询儿牙专家:乳牙龋坏形成的原因 ---不
0
0
如果乳牙断了牙根还在里面怎么办-儿牙-妈妈好孕网
0
0
预防大于治疗植得口腔儿牙医生建议儿童龋齿早预防早治疗
0
0
儿牙畸形照片
0
0
家长应该知道的6大儿牙技术
0
0
儿牙图解
0
0
随机推荐
韩国
0
0
新人_新人表情包大全_斗图大全
0
0
鼠年吉祥创意卡通高清桌面壁纸
0
0
喝雪花勇闯天涯啤酒,扫瓶盖码中现金红包,每瓶都有,100%中 - 抖音
0
0
风语者
0
0
最爱钓清水鱼,都是溪鱼中的极品
0
0
从洁肤,护肤到美容,彩妆,各种各样的女性产品都有,而且品牌也特别多
0
0
何故
0
0
人气狼尾鲻鱼头 痞帅发型显脸小
0
0
奇迹暖暖【云端】2019春节福袋——「灵狐梦忆」白狐
0
0
中的女主角卓淑由韩国演员李素妍饰演,是一位备受认可的实力派演员
0
0
猫咪搞笑动态图合集 最搞笑的还是喵星人
0
0