八零图社
首页
最新
热门
排行
首页
最新
热门
排行
自然风光
动漫卡通
美食摄影
科技数码
人物写真
创意设计
壁纸背景
游戏原画
首页
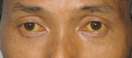
大人黄疸
图片详情
为什么有的胰腺癌出现黄疸,有的却没有?
0
浏览
0
喜欢
446x196
尺寸
2026-03-13 11:25:44
上传
查看原图
下载图片
图片链接
缩略图
原图
外链
专题
大人黄疸
相关图片
黄疸,黄色的眼周
0
0
黄疸
0
0
黄疸图
0
0
临床医学概论常见症状第二章黄疸血尿ppt37页
0
0
展开讲述之前我们先看看黄疸什么样,有图有真相
0
0
郭某某,66岁,男性患者,因进行性黄疸2周,发现胰腺占位1天入院.
0
0
听医生怎么说!
0
0
肝功能出现问题,都会导致黄疸,7大问题诊断黄疸
0
0
临床思维训练教学-桥梁课-阻塞性黄疸-外科.ppt
0
0
中医康复理疗之黄疸病理与治疗方法
0
0
黄疸课件
0
0
【梗阻性黄疸科普】胆囊切除术后1年,黄疸,肝右叶胆管扩张,介入微创
0
0
随机推荐
抖音心碎图片整套
0
0
世界上"最丑"的女人:26岁却像62岁,体重仅有26公斤
0
0
《长征手抄报》
0
0
3岁韬韬小腿肌肉发达,但是医生却说
0
0
桥梁工程施工图识读(ppt格式)
0
0
一名爱健身爱crossfit的美女主持人倒立照片走红网络曲线很美
0
0
电视背景墙干净利落又高级,你家的背景墙却到处都是凌乱电线如同盘丝
0
0
汗斑图片大全51
0
0
exo 朴灿烈 表情包
0
0
简单小头像
0
0
希儿彼岸双生
0
0
小康福建建党100周年福建优秀传统剪纸作品巡回展走进宁德
0
0